• Предсказуемый результат в любом возрасте
  • Комфорт и эстетичность
  • Чуткое и бережное отношение

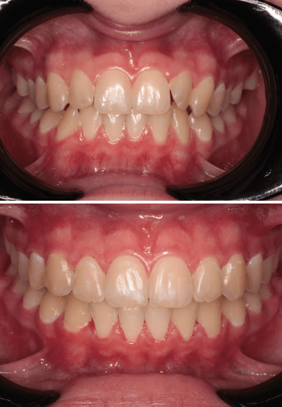
Выравнивание зубов и исправление прикуса любой сложности

Выравнивание зубов и исправление прикуса любой сложности
  • Позволяют добиться прекрасной улыбки и правильного прикуса
  • Устраняют проблемы с жеванием и произношением
Брекеты
  • Практически невидимы на зубах, изготавливаются из прозрачного материала, который позволяет зубам выглядеть естественно во время ношения
  • Исправляют зубы в горизонтальном, вертикальном и поперечном направлениях
  • Помогают улучшить эстетику зубного ряда и улыбки
Элайнеры
В настоящее время существует 2 типа конструкций для выравнивания зубов и исправления прикуса:

Виды ортодонтического лечения: брекеты и элайнеры

Брекеты
Заметны на зубах
При этом современные брекеты выглядят очень эстетично и это даже модно
Нельзя снимать
Брекеты нельзя снять, их нужно очищать после каждого приема пищи
Подходят всем
Брекетами исправляют даже самые сложные случаи нарушения прикуса
Элайнеры
Незаметны на зубах
Элайнеры — это прозрачные каппы, незаметные для окружающих
Нужно снимать
Элайнеры нужно снимать на время приёма пищи и чистки зубов
Подходят не всем
В более сложных случаях нарушения прикуса элайнеры не подходят

Основные различия
брекетов и элайнеров

Наши врачи помогут выбрать идеальный вариант именно для вас, в зависимости от ситуации и ваших индивидуальных особенностей
отличные инструменты выравнивания зубов

Бесплатная
онлайн-консультация по вашей ситуации

  • Отправьте нам снимок КТ или фото зубов
  • Узнайте, что вам подойдет: брекеты или элайнеры
  • Получите предварительный план лечения с этапами и ценами
Для записи на консультацию заполните форму:
В нашей клинике мы можем предложить вам 3 варианта брекет-систем Damon Q
Эта проверенная десятилетиями методика, которая подойдёт даже для самых сложных случаев.

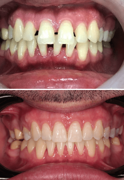
Исправление прикуса брекетами

Металлические брекеты
Керамические брекеты
Лингвальные брекеты
Не видны на зубах. Это прозрачные съемные каппы из биосиликона.
Наслаждайтесь любимой едой, чистите зубы как обычно, улыбайтесь — с элайнерами вам не нужно менять свои привычки и образ жизни!
Россия
Не ощущаются во рту. Они мягкие и пластичные, но достаточно упругие, чтобы исправлять прикус.
Не требуют особой гигиены. Элайнеры снимаются на время приема пищи и чистки зубов.
Россия
Италия
Элайнеры имеют ряд неоспоримых преимуществ:

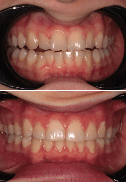
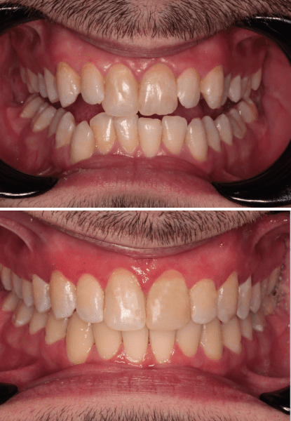
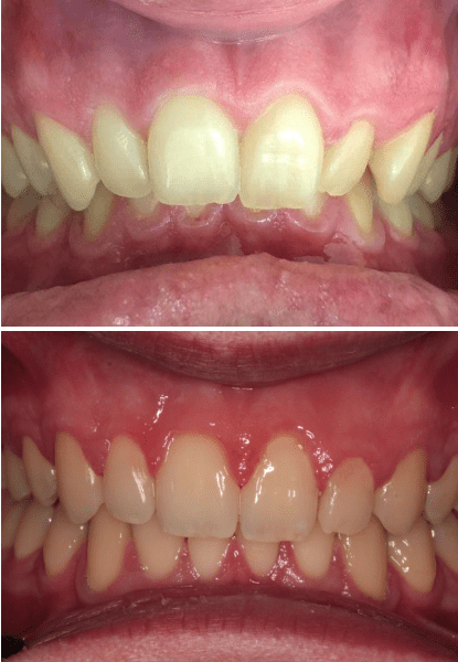
Исправление прикуса элайнерами

Портфолио

Для записи на консультацию заполните форму:
  • Обучался по мировому стандарту у Доктора Стефано Трояни — ортодонта-консультанта в отделении ЧЛХ госпиталя университета Одензе (Дания)
  • Участник ортодонтического конгресса «Hi OHI-S» с приглашенными мировыми профессорами: Марко Роса, Сын-Кун Хим, Вон Мун
К эксперту со стажем 7+ лет

Приглашаем на бесплатную консультацию (акция до 31.01.26)

Джалилли Ганбар Алиевич
Джалилли Ганбар Алиевич
Стоматолог-ортодонт

Врачи

Арустамов Христофор Александрович
Стаж работы более 5 лет
Стоматолог-ортодонт
Джалилли Ганбар Алиевич
Стаж работы более 7 лет
Стоматолог-ортодонт

Прайс по ортодонтическому лечению

Лечение на брекет-системе
от 150 000 ₽
Лечение на брекет-системе
Лечение на элайнерах
от 200 000 ₽
Лечение на элайнерах
Официальные партнеры Sirona
Каждые 3 года обновляем оборудование
Германия, США, Швейцария
Обучение врачей за рубежом 2 раза в год
Лечим по показаниям, а не по бизнес-плану!
Индивидуальный подход

Наши мощности и преимущества

01. Поэтапная оплата по факту
  • Приходите на лечение согласно плану
  • Оплачиваете только по факту оказанных услуг
02. Поэтапная оплата на депозит в клинике
  • Выбираем комфортную для вас сумму
  • Регулярно вносите ее на депозит
  • Итог списываем по факту завершения лечения
03. Рассрочка 0% от банка до 24 месяцев
  • Получаете от банка необходимую сумму
  • Возвращаете частями через приложение банка
  • Проценты платим за вас мы

Варианты оплаты

Лечим по показаниям, а не по бизнес-плану!
Наша философия
Мы не оказываем услуги по выравниванию зубов. Мы проводим научно - обоснованное лечение по международным стандартам после тщательной диагностики.
  • Восстанавливаем эстетику и функциональность при неправильном прикусе и скученности зубов
  • Гарантируем отсутствие осложнений и «лишних» навязанных услуг.
Как проходит процесс исправления прикуса брекетами или элайнерами
Обычно этот этап занимает до 1 часа
Шаг 1. Диагностика
Шаг 2. Установка
Шаг 3. Уход и наблюдение
  • Консультация: обсуждаем вашу ситуацию и отвечаем на все вопросы
  • Сбор информации: врач проводит осмотр, снимает слепки челюсти и производит расчёт
  • План лечения: врач предложит подходящий именно вам вариант лечения и покажет на 3D-модели, как будет изменяться ваша улыбка, пока не станет идеальной
Шаг 1. Диагностика
Шаг 2. Установка
Шаг 3. Уход и наблюдение
  • В случае выбора брекетов, врач наносит специальный клей на поверхность каждого зуба и крепит на них брекеты
  • После этого, при помощи дуг и резинок, зубы будут постепенно перемещены в желаемое положение
  • Пациент может испытывать некоторое давление и дискомфорт в первое время, но постепенно к этому привыкнет
  • В случае выбора элайнеров, пациенту предоставляется серия индивидуально изготовленных элайнеров, которые меняются каждые несколько недель
Шаг 1. Диагностика
Шаг 2. Установка
Шаг 3. Уход и наблюдение
  • Гигиена полости рта: Регулярное и тщательное чистка зубов является основой хорошего ухода за брекетами или элайнерами. Пациенты должны чистить зубы после каждого приема пищи, используя мягкую зубную щетку и специальные интердентальные щеточки или зубную нить для удаления остатков пищи из-под брекетов или элайнеров.
  • Регулярные визиты к врачу-ортодонту: После установки брекетов или элайнеров пациентам рекомендуется регулярно посещать врача-ортодонта для контроля и регулировки
  • Неприятный запах во рту
  • Нарушение дикции и проблемы с речью
  • Риск развития кариеса и пародонтита
  • Сильные головные боли
  • Нарушение работы ЖКТ из-за проблем с пережёвыванием пищи
Неправильный прикус и зубные аномалии приводят не только к нарушению эстетики, но и к проблемам со здоровьем. Возникает:
Исправление скученности зубов
Устранение больших промежутков
Исправление неправильного прикуса
С нами вы сможете демонстрировать окружающим свою красивую улыбку в любом возрасте
Какие задачи поможет решить ортопедическое лечение в нашей клинике:
Для записи на консультацию заполните форму:
В диагностику входит: осмотр, консультация, составление плана лечения, слепки (диагностические модели), расчет суставов и прикуса по ТРГ (длительность и методика лечения)

Запишитесь на диагностику зубочелюстной системы с экспертным заключением ортодонта всего за 2000 0 ₽

Что о нас говорят

Отличная клиника, стала идеальным вариантом для всей семьи. Прекрасный персонал, качество работ! Все чисто, всегда вежливо, огромное спасибо!
Dark
Спасибо Елисееву Денису Андреевичу! Посетили клинику с дочкой 15 лет. Всё очень профессионально. Был сложный зуб, снимок показал плачевное состояние зуба, но доктор сделал...
Читать полностью
Н.Д.
Посещал данную стоматологию. Делали гигиеническую чистку зубов. Очень понравилось. Максимально быстро и комфортно. Зубы стали реально белее. Особенно хотелось бы...
Читать полностью
Алексей Сидоров
Обратилась в стоматологическую клинику за помощью. Сделали максимально аккуратно, быстро и без боли) Я в восторге! Обязательно посоветую родным и друзьям! Уже записалась на следующий...
Читать полностью
Наталья Ашурова
Наилучшая клинника, с невероятно крутыми мастерами своего дела
Лечусь не первый год, и уже немало своих сюда отправлял, и все как один довольны лечением!) В особенности хоче отметить...
Читать полностью
Михаил Субеев
Прохожу обширное лечение,планирую установку брекет-системы и имплантацию. Приятная атмосфера в самом центре,отзывчивые алминистраторы,очень внимательные специалисты...
Читать полностью
Юлия К.
Хорошая стоматология с приятными ценами ,порадовало отношение к клиентам и качество проведенного лечения.
Оля Новикова

Больше отзывов на независимых площадках

4.8/5
м. Аэропорт
м. Щукинская
5/5
4.9/5
4.9/5
5/5
м. Аэропорт
м. Щукинская

Другие услуги клиники

Подробнее
Композитная реставрация, виниры
Реставрация
Подробнее
Отбеливание зубов ZOOM
Отбеливание
Подробнее
Профессиональная чистка
Гигиена
Подробнее
Установка зубных имплантов
Имплантация
Подробнее
Коронки, протезы, мосты
Протезирование
Подробнее
Удаление зубов
Хирургия
Подробнее
Лечение десен
Пародонтология
Подробнее
Лечение зубов
Терапия
Ежедневно, 10-20:00
г. Москва, ул. Академика Бочвара, д.6
метро Щукинская
Ежедневно, 09-20:00
г. Москва, Эльдорадовский пер., д.7/Планетная улица, д.19
метро Аэропорт
Контакты
НЕОБХОДИМА КОНСУЛЬТАЦИЯ СПЕЦИАЛИСТА
Обращаем Ваше внимание на то, что данный интернет-сайт носит исключительно информационный характер и ни при каких условиях не является публичной офертой, определяемой положениями ч. 2 ст. 437 Гражданского кодекса Российской Федерации. Для получения подробной информации о стоимости, наименовании и сроках оказания услуг, пожалуйста, обращайтесь по контактным телефонам. Конкретный перечень услуг и порядок их предоставления определяется в договоре оказания услуг, оформляемым между клиникой и пациентом
г. Москва, ул. Академика Бочвара, д.6
+7 (926) 003-07-62
+7 (926) 003-07-62
г. Москва, Эльдорадовский пер., д.7/Планетная улица, д.19
+7 (925) 333-07-62
+7 (925) 333-07-62
© ЕКМ стоматология, 2023
ООО «Лотос»
Адрес юридический: 115682, г. Москва, ул. Шипиловская, д.64 к.1
Адрес фактический: 125167, г. Москва, Эльдорадовский пер., 7 эт.1 пом.1
Лицензия: ЛО-77-01-021345
ИНН: 9724004743
ОГРН: 1207700057135
ООО «ВИВА ДЕНТ»
Адрес юридический: г Москва, ул Академика Бочвара, д 6, кв 1
Адрес фактический: г Москва, ул Академика Бочвара, д 6, кв 1
Лицензия: Л041-01137-77/00592722
ИНН: 7734400774
ОГРН: 1177746173967